
La rehabilitación oral de José Vicente con implantes dentales y coronas de zirconio
José Vicente, un paciente de Valencia, acudió a nuestra clínica en busca de una solución para su problema de falta de piezas dentales. La ausencia de dientes no solo afectaba su capacidad para masticar y hablar con normalidad, sino también su autoestima y calidad de vida. En el Centre Mèdic i Dental Dr. Lorente, comprendimos su situación y le ofrecimos una solución personalizada mediante un tratamiento de rehabilitación oral con implantes dentales y coronas de zirconio.
El tratamiento de implantes dentales con coronas de zirconio
El plan de tratamiento de José Vicente incluyó la colocación de implantes dentales tanto en la arcada superior como inferior. Estos implantes actúan como raíces artificiales, proporcionando una base sólida para las fundas de zirconio, material conocido por su resistencia y apariencia natural. Este procedimiento no solo devolvió la funcionalidad de su mordida, sino que también le permitió recuperar una sonrisa estética y duradera.
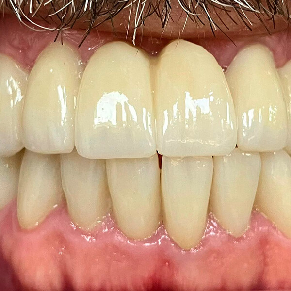
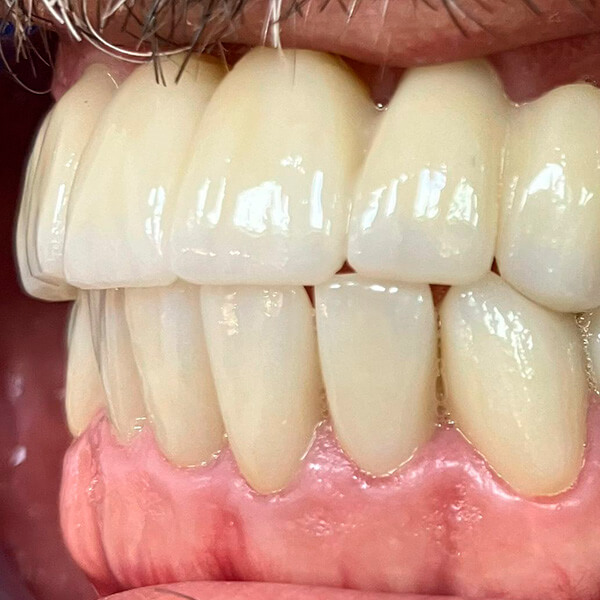
Antes y después del tratamiento con implantes dentales
Las fotos del caso de José Vicente muestran cómo la rehabilitación con implantes dentales antes y después puede transformar completamente la sonrisa de un paciente, mejorando tanto la estética facial como la confianza en uno mismo.
Además, con el antes y después de las coronas de zirconio, se evidencia la naturalidad del resultado, ya que el zirconio es un material que imita el color y la textura del diente natural, proporcionando un acabado que es indistinguible del resto de los dientes.
Beneficios del Tratamiento con Implantes Dentales y Coronas de Zirconio:
- Alta durabilidad: los implantes dentales y las fundas de zirconio son extremadamente resistentes, lo que garantiza una larga duración del tratamiento.
- Estética natural: el zirconio tiene un color similar al de los dientes naturales, lo que resulta en una sonrisa estéticamente agradable.
- Funcionalidad completa: los implantes dentales restauran la capacidad de masticar y hablar sin problemas, mejorando significativamente la calidad de vida.
- Compatibilidad biológica: el zirconio es biocompatible, lo que reduce el riesgo de reacciones alérgicas o rechazo.
- Mantenimiento sencillo: tanto los implantes como las coronas de zirconio requieren un mantenimiento similar al de los dientes naturales, con una correcta higiene oral.
Excelencia odontológica garantizada
En el Centre Mèdic i Dental Dr. Lorente, contamos con el Certificado de Excelencia Odontológica emitido por DentalQuality, lo que asegura a nuestros pacientes tratamientos de la más alta calidad y precisión. José Vicente es un claro ejemplo de los resultados que podemos ofrecer a quienes buscan soluciones a la falta de piezas dentales mediante implantes dentales y coronas de zirconio.
¿Quieres una sonrisa como la de José Vicente?
Si estás buscando una solución definitiva a la falta de dientes o deseas mejorar tu sonrisa con fundas de zirconio, no dudes en contactarnos. Te invitamos a pedir una cita gratis para evaluar tu caso y ofrecerte el tratamiento más adecuado. ¡Recupera tu sonrisa y mejora tu calidad de vida hoy mismo!

Dr. Juan José Lorente
Solicita tu estudio completo y gratuito. Te damos precio y presupuesto en el momento.




